{"url":"https://www.zooplus.fr/magazine/chien/sante-et-bien-etre-du-chien/piroplasmose-babesiose-chien","title":"Piroplasmose (babésiose) chez le chien","mag_id":310673,"is_single":true,"cat_name":"Chien","sub_cat_id":274,"sub_cat_name":"Santé et bien-être du chien","cat_id":186}
Autrefois, la babésiose (ou piroplasmose) faisait partie des maladies méditerranéennes. Mais avec la propagation croissante des parasites responsables de cette maladie infectieuse chez les chiens, le risque de contagion s’étend à de nombreux pays européens. Lisez cet article pour en apprendre davantage sur cette maladie qui affecte la santé de votre chien et peut même être mortelle si elle n’est pas traitée.
La piroplasmose est une maladie infectieuse grave chez les chiens, causée par les babésies, des parasites unicellulaires transmis par les tiques.
La babésiose : un danger pour les chiens
Au fur et à mesure de l’évolution de la maladie, l’état de santé des chiens atteints se dégrade. Outre une forte fièvre, l’infection s’accompagne d’une sévère anémie, les parasites attaquant les globules rouges.
Bien qu’il existe des possibilités de traitement, celles-ci ne sont pas toujours efficaces ; il peut arriver que la maladie soit fatale pour le chien.
La piroplasmose est-elle dangereuse pour l’humain ?
Le parasite Babesia canis, responsable de cette maladie canine, ne présente pas de risque pour l’humain. Toutefois, ce dernier peut être infecté par d’autres espèces de babésies, également transmissibles par les morsures de tiques.
Où trouve-t-on des babésies ?
Autrefois, ces dangereux parasites se limitaient aux régions chaudes comme l’Afrique ou le bassin méditerranéen. Depuis quelques années, ils se sont étendus à l’Europe centrale et aux Balkans. Ils sont aujourd’hui présents presque partout dans le monde.
La babésiose en France
La maladie est présente sur l’ensemble de l’Hexagone, mais sa répartition n’est pas uniforme. En effet, elle dépend du climat et des espèces de tiques locales (toutes ne peuvent pas transmettre la piroplasmose). En outre, l’environnement est également un facteur déterminant : les tiques apprécient particulièrement les herbes hautes et la forêt. En France, les départements du sud-ouest sont les plus à risque.
L’espèce Dermacentor marginatus fait partie des tiques qui transmettent les babésies aux chiens.
Symptômes : comment la maladie se manifeste-t-elle ?
Les signes de la piroplasmose dépendent de la souche de l’agent pathogène. C’est pourquoi la maladie peut évoluer différemment selon les chiens : elle peut être aiguë (soudaine) ou chronique (de longue durée). La forme aiguë est la plus fréquente.
Combien de temps entre la morsure et l’apparition des premiers principaux signes ?
En règle générale, les symptômes apparaissent dans les trois semaines mais selon la souche, les premiers signes peuvent apparaître dans les jours suivant la morsure de tique.
Les symptômes les plus courants associés à la babésiose sont les suivants :
Fièvre (plus de 40°C), fatigue et difficultés respiratoires
Perte d’appétit et de poids
Rétention d’eau (œdème)
Jaunissement des muqueuses (ictère)
Présence de sang dans les urines
Hématomes
Stade avancé de la maladie
La maladie peut s’étendre au système nerveux central, auquel cas des troubles moteurs et des paralysies s’ajoutent aux premiers signes. Votre chien peut être victime de crises d’épilepsie ou d’insuffisance rénale, ce qui entraîne souvent la mort.
Quand doit-on consulter un vétérinaire ?
Si votre fidèle compagnon présente un ou plusieurs de ces symptômes, emmenez-le chez le vétérinaire sans tarder. Plus la maladie sera détectée tôt, plus les chances de guérison seront élevées.
Diagnostic : comment est-il établi ?
Le vétérinaire commencera par un examen poussé de l’état général de votre chien. Il vous posera également des questions, auxquelles il vous faudra répondre de manière aussi détaillée que possible.
Il est par exemple important de savoir si votre compagnon à quatre pattes a récemment été mordu par une tique ou si vous avez passé des vacances dans une zone à risque. De telles informations, ainsi que des examens complémentaires, permettront au vétérinaire d’établir un diagnostic précis.
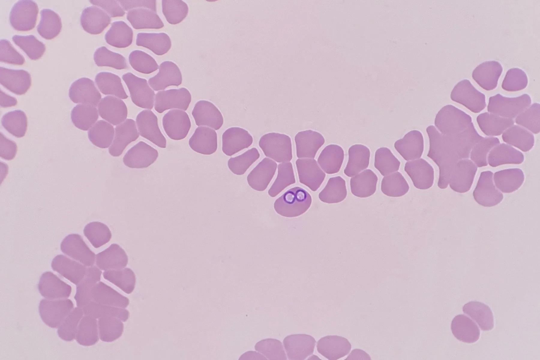
Frottis sanguin
Pour confirmer une suspicion de piroplasmose, le vétérinaire procède généralement à une analyse de sang. Pour ce faire, il prélève un échantillon de sang au niveau de l’oreille ou à l’extrémité de la queue de votre chien et l’examine au microscope. Les babésies sont alors visibles dans les globules rouges. Toutefois, il peut arriver que le test soit négatif alors qu’il y a bien une infection. Pour en avoir le cœur net, d’autres examens sont nécessaires.
La biologie moléculaire
En cas de doute ou après un résultat équivoque de l’analyse de sang, le vétérinaire envoie un échantillon de sang au laboratoire. Un test PCR spécifique permettra de déterminer avec certitude s’il y a une infection aiguë ou pas.
Cette image présente des globules rouges (en rose) et deux babésies (formes arrondies violettes).
Traitement : comment soigner la piroplasmose chez le chien ?
En Europe, la piroplasmose est traitée grâce à un médicament dont la substance active est l’imidocarbe. Les vétérinaires l’administrent généralement deux fois à deux semaines d’intervalle.
Certaines espèces de babésies peuvent être soignées à l’aide d’antibiotiques avec pour substance active la doxycycline.
Néanmoins, les médicaments seuls ne suffisent pas à soulager les symptômes. Par conséquent, des soins tels que des perfusions ou une transfusion sanguine sont généralement nécessaires.
La problématique du traitement de la piroplasmose chez les chiens
Les traitements, même suivis à la lettre, peuvent ne pas suffire à guérir le malade. C’est pourquoi il est important de protéger votre chien d’une infection par des mesures préventives : par exemple, vérifiez régulièrement son corps à la recherche de tiques.
Les formes les plus graves de la maladie peuvent nécessiter une hospitalisation de votre compagnon à quatre pattes. Selon la durée de sa convalescence, le prix du traitement peut vite grimper.
Origine : quelles sont les causes de la babésiose chez les chiens ?
La babésiose tient son nom des parasites qui la portent : les babésies unicellulaires. La maladie se manifeste principalement dans les zones climatiques chaudes mais la propagation de la babésiose du chien ne cesse de s’étendre depuis des années ; une conséquence du réchauffement climatique.
Contamination : quelles tiques transmettent la babésiose canine ?
La tique d’Auwald (Dermacentor reticulatus) et la tique brune du chien (Rhipicephalus sanguineus) sont porteuses de la maladie. Voici comment se déroule la contagion :
Lorsqu’une tique suce du sang infecté par des babésies, elle ingère les parasites.
Si elle mord un autre chien, les parasites pénètrent dans la circulation sanguine du chien mordu via la salive de la tique.
Une fois dans le sang, les babésies infestent les globules rouges et se multiplient.
La prolifération des parasites réduit la place dans les cellules.
S’il n’a plus assez de place, les cellules sanguines finissent par éclater, ce qui déclenche l’apparition de la babésiose chez le chien.
Remarque : en théorie, la transmission des babésies est également possible par transfusion sanguine. Cependant, grâce aux mesures de contrôle, cette transmission est relativement rare aujourd’hui.
Pronostic : quelles sont les chances de guérison ?
Si la piroplasmose est détectée et traitée à temps, la guérison est possible. Toutefois, un chien peut rester porteur de babésies toute sa vie (même après traitement) et peut donc subir de graves rechutes.
C’est pourquoi il est important que vous gardiez toujours un œil sur la santé de votre chien et que vous honoriez toutes les visites de routine chez le vétérinaire.
Prévention : comment protéger son chien de cette maladie ?
Pour éviter que votre chien ne soit infecté par des babésies, vous devez le protéger des tiques tout au long de l’année.
Remarque : d’après une vieille croyance populaire, les tiques n’apparaîtraient qu’en été. Mais depuis quelques années, on note une recrudescence des cas de babésiose en hiver. En effet, certaines espèces de tiques peuvent survivre à des températures très basses (jusqu’à 4°C).
Éviter les morsures de tiques
Pour protéger votre fidèle compagnon des tiques, utilisez des produits adaptés tout au long de l’année. Inspectez aussi votre chien après chaque promenade afin de détecter la présence de parasites.
Si la tique a déjà mordu, vous apprendrez dans notre guide sur les tiques comment retirer cet indésirable invité.
Remarque : les tiques transmettent également d’autres agents pathogènes comme l’anaplasmose… raison de plus de protéger votre chien de ces parasites !
Existe-t-il un vaccin contre la babésiose ?
Le vaccin contre la babésiose ne fait pas partie de la vaccination obligatoire du chien. De plus, les vaccins disponibles n’empêchent pas l’infection et ne sont pas efficaces contre toutes les espèces. Toutefois, ils peuvent diminuer le risque d’évolution grave de la maladie et donc de séquelles.
Si vous prévoyez des vacances dans des zones à risque, la vaccination peut en valoir la peine. N’hésitez pas à demander conseil à votre vétérinaire.
Remarque importante : le contenu est fourni à titre indicatif uniquement et n’a pas vocation à remplacer l’avis, le diagnostic ou le traitement d’un vétérinaire professionnel. Si vous avez des questions ou préoccupations concernant la santé de votre animal, consultez toujours un vétérinaire agréé.
Dr Franziska G., Vétérinaire
À l'université Justus-Liebig de Gießen, j'ai suivi une formation de vétérinaire où j'ai pu acquérir une certaine expérience dans divers domaines, tels que la médecine dédiée aux petits et grands animaux, la médecine exotique, la pharmacologie, la pathologie et l'hygiène alimentaire. Depuis, je n'ai pas seulement travaillé en tant qu'auteur vétérinaire. J’ai également travaillé sur ma thèse qui a été influencée scientifiquement. Mon objectif est de mieux protéger les animaux contre les agents pathogènes bactériens à l'avenir. En plus de mes connaissances, je partage mes propres expériences en tant que propriétaire de chien et je peux ainsi comprendre et apaiser les craintes et les problèmes, ainsi que d'autres questions concernant la santé animale.
Comme chez l'homme, la toux du chien n'est pas une maladie à part entière, mais un symptôme d'un problème de santé touchant le système respiratoire ou d'autres organes. La toux peut aussi être un réflexe pour protéger l'organisme contre diverses substances, comme les corps étrangers ou irritants. Parfois, on peut confondre la toux du chien avec des tentatives de vomissement ou de régurgitation, des éternuements inversés, des étouffements ou des halètements forts. On distingue la toux sèche sans expectoration (toux non productive) et la toux grasse avec expectoration (toux productive). Les deux types peuvent survenir de façon aiguë ou chronique.
La giardiose chez le chien se manifeste par une diarrhée et des vomissements. Le parasite giardia touche principalement les chiots et les chiens au système immunitaire fragile.
Le parasite Otodectes cynotis (gale des oreilles du chien) appartient à la famille des Psoroptidae et habite les canaux auriculaires des animaux mangeurs de viande. C'est l'acarien de la gale le plus commun chez ces animaux.